27-letni motocyklista, który w czerwcu ubiegłego roku uległ poważnemu wypadkowi drogowemu, po wielu miesiącach skomplikowanego leczenia wraca do zdrowia. Początkowo jego stan był krytyczny – doznał rozległych obrażeń wielonarządowych i złamań, które wymagały licznych interwencji chirurgicznych. Dzięki wysiłkom lekarzy z Wojewódzkiego Szpitala Zespolonego w Kielcach pacjent odzyskał sprawność i dziś może samodzielnie chodzić.
Walka o życie
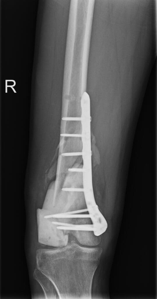
Młody mężczyzna trafił do szpitala w stanie skrajnie ciężkim. W wyniku wypadku doznał m.in. odmy opłucnowej, złamań otwartych oraz licznych urazów tkanek miękkich. Jego życie przez wiele dni podtrzymywała aparatura wspomagająca oddychanie. Lekarze natychmiast podjęli działania ratujące zdrowie pacjenta – konieczne było przeprowadzenie drenażu opłucnej oraz zabezpieczenie złamań przy użyciu stabilizatorów zewnętrznych.
Po pierwszej fazie leczenia, pacjent został przeniesiony na Oddział Intensywnej Terapii, gdzie przez ponad dwa tygodnie walczono o jego życie. Jak podkreślają lekarze, jego stan początkowo nie dawał pewności, że uda się go uratować.
Seria skomplikowanych operacji
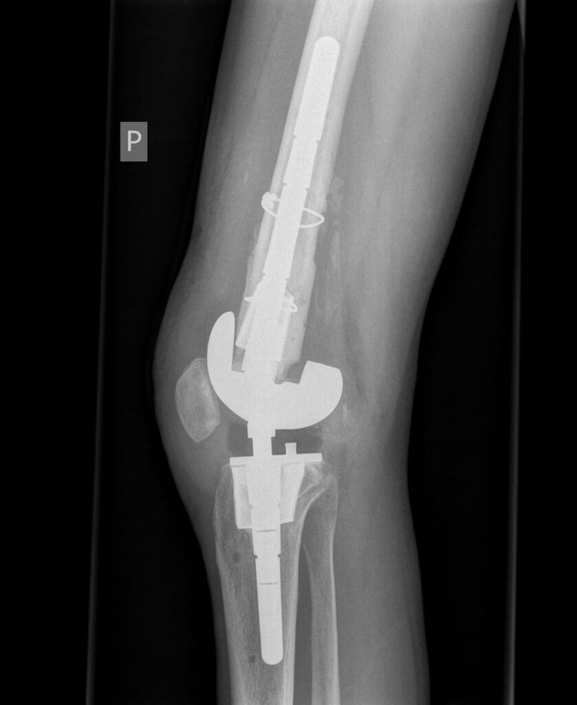
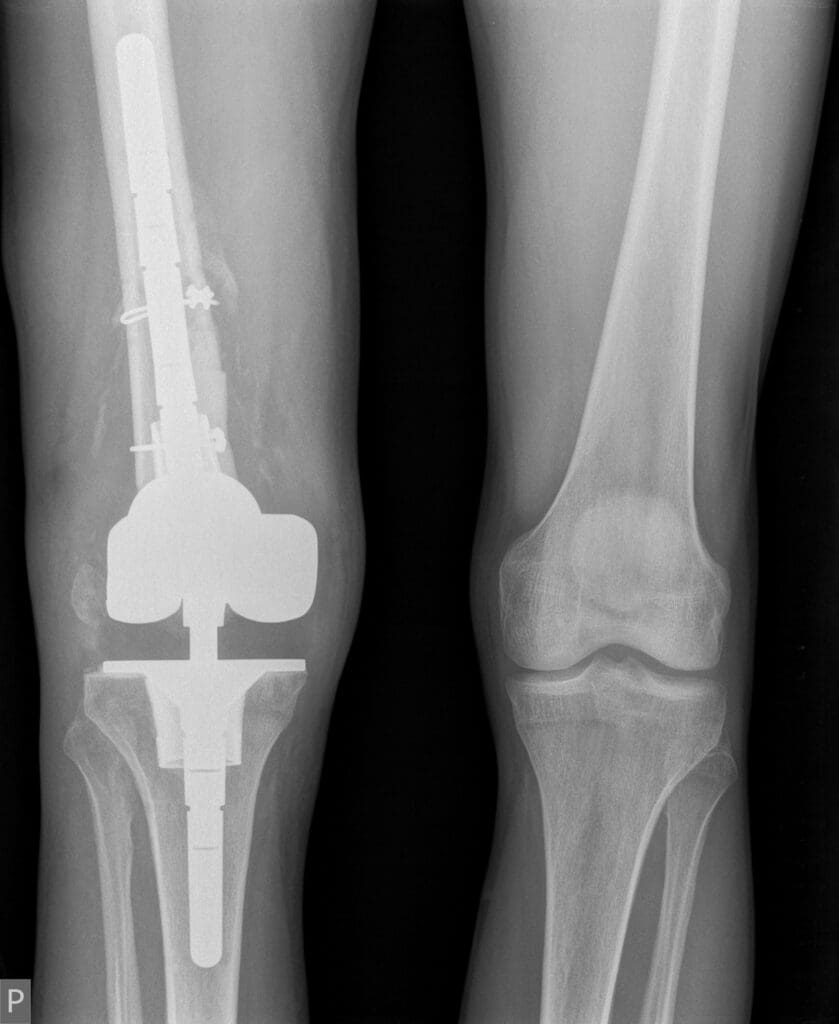
Po ustabilizowaniu najgroźniejszych obrażeń konieczne było przeprowadzenie kilku poważnych operacji ortopedycznych. Jednym z najtrudniejszych wyzwań było zrekonstruowanie kolana, które w wyniku wypadku uległo niemal całkowitemu zniszczeniu. Fragmenty kości uległy martwicy i rozpadowi, co znacząco utrudniało możliwości dalszego leczenia.
Lekarze z Kliniki Urazowo-Ortopedycznej pod kierownictwem dr. Rafała Wójcickiego przeprowadzili innowacyjny zabieg rekonstrukcji stawu kolanowego, stosując nowoczesne materiały i cement kostny. Było to kluczowe dla dalszej terapii, ponieważ umożliwiło odbudowę ubytków kostnych i przygotowanie pacjenta do kolejnych etapów leczenia.
Po kilku miesiącach rehabilitacji przystąpiono do kolejnego zabiegu – usunięcia czasowej protezy i wszczepienia endoprotezy stawu kolanowego. Dzięki nowoczesnym implantom udało się przywrócić funkcjonalność kończyny.
Powrót do sprawności
Pacjent spędził długie miesiące w szpitalu, jednak jego determinacja oraz profesjonalna opieka medyczna sprawiły, że dziś porusza się samodzielnie, bez kul. Jak podkreślają lekarze, początkowo rozważano nawet amputację nogi, jednak dzięki zaawansowanym metodom leczenia udało się tego uniknąć.
Bliscy 27-latka nie kryją wdzięczności wobec lekarzy i personelu medycznego. Matka pacjenta podkreśla, że w całym procesie leczenia ogromne znaczenie miała nie tylko wiedza i umiejętności lekarzy, ale także ich empatia i wsparcie psychiczne.
Stefan Bąk, zastępca dyrektora ds. administracyjno-organizacyjnych WSzZ, przypomina, że Wojewódzki Szpital Zespolony to placówka o wysokim poziomie specjalizacji, przygotowana na leczenie najtrudniejszych przypadków. Przykład młodego motocyklisty pokazuje, jak zaawansowana medycyna i determinacja pacjenta mogą doprowadzić do medycznego sukcesu, który jeszcze kilka lat temu mógłby wydawać się niemożliwy.





